What Moves Water Inside the Body?
Untangling the Mysteries of Life, Aging and Spike Protein Injuries
One of the fascinating things about science is that while it is an excellent tool for discerning the nature of reality, it will simultaneously refuse to look at data with implications that challenge the existing scientific orthodoxy. As such, an unfortunate situation is created where science advances knowledge to a point but then reverses polarities and paradoxically becomes a barrier to that advancement.
An excellent illustration of this dynamic can be seen with water, and as a result, many of its properties are relatively unknown. One of the most important properties is that provided ambient infrared energy is present in the environment and a polar surface exists, water (H2O) can assume a semi-solid state as H3O2 (H1.5O) where it eliminates a proton (hydrogen ion) and behaves like a liquid crystal. Since a significant portion of the water within the body is in the liquid crystalline state, the biological consequences of this water, in my eyes, represent a key forgotten side of medicine.
Previously, in this article, I discussed the long lineage of scientists who have studied this semi-solid form of water, followed by listing some of the key properties of this gel-like 4th phase of water and what causes it to form. Since it has been studied by so many, it has many names (e.g., interfacial water or EZ water). Henceforth it will be referred to as liquid crystalline water (which I believe is the most accurate description for it).
Likewise, in this article, I illustrated how water’s ability to become a partial solid through its liquid crystalline phase explains many of the structural mysteries of the body. The body and its tissues have a significant strength and durability one would expect to find in a solid, but at the same time, it has a high degree of flexibility and capacity for rapid movement one would expect in a liquid—two contradictory properties made possible by water’s unique characteristics.
Because liquid crystalline water is effectively both a solid and liquid, it can accommodate these conflicting demands. An incredible degree of natural engineering, in turn, exists within the body to utilize its properties to accomplish both. In addition to creating structure (including, for example, the barriers that protect your blood vessels from damage—which also happen to be a vital target of the spike protein’s toxicity), the body also frequently makes use of phase transitions between water’s liquid crystalline state and its regular liquid state.
The transitions are important because they provide the mechanisms that underlie a variety of physiologic processes our existing models fail to explain effectively. For example, as discussed here, there are a variety of significant inconsistencies within the current model to explain how muscles contract, but they have not been seriously critiqued because no better model exists for muscle function.
The phase transition model instead argues that muscles are designed to form liquid crystalline water. The formation of that water inside the muscle tissue naturally expands and stretches the muscle tissue. Then when the liquid crystalline water is transitioned back to its regular liquid state (which can happen instantly once a zeta potential disrupting ion contacts it—such as calcium entering a cell), the muscle rapidly contracts since an expansive pressure is no longer present to resist the tension in its stretched proteins. Likewise, another application of this expansive force is that it allows plants and seedlings to break apart rock solid objects as they grow.
Note: water is one of the only known substances that expands when it freezes (this property is very unusual). The other seven undergo a smaller expansion (and are already solid at room temperature).
Similarly, the formation of liquid crystalline water (which holds a negative charge) with an immediately adjacent layer of positively charged protons (the displaced hydrogen ions) creates an electrical charge gradient. Rather than dissipating, this gradient persists (essentially functioning as a battery), and this charge can be measured directly.
Thus, one of the most interesting characteristics of liquid crystalline water is that it effectively functions as an energy source living systems can utilize. Its ability to spontaneously move into a more structured form (which the muscles, for example, utilize as a store of potential energy for a contraction) is one such example. Some of the other critically important utilizations of water’s ability to convert ambient infrared energy into a usable form of energy include:
•Photosynthesis. Frequencies of light that increase liquid crystalline water have been reported to increase plant growth, and a particulate material that was designed to increase the formation of liquid crystalline water was shown to create at least a 2-3-fold increase in root length and/or formation of shoots.
•Nerve signal conduction (agents that block the formation of liquid crystalline water block nerve function, and nerve signal conduction depends upon a phase transition within the neuron).
Note: I believe one reason neural therapy (injecting an anesthetic like lidocaine into an overactive nerve or scar to reset the inappropriate autonomic response) is able to create profound resolutions of autonomic dysfunction, pain and trauma is because it breaks apart aggregations of liquid crystalline water and allow microcirculatory pathways to become unblocked and restore the body.
•Cellular transport and division (these also appear to depend upon the phase transitions of water).
•Fluid circulation.
Fluid Circulation and Life
If the flow of a stream is obstructed, the water there will quickly transform from clear pristine water to a murky pool with numerous things growing in it and is no longer drinkable. Chinese Medicine, in turn, frequently uses this process as a metaphor for what occurs within the body when stagnation occurs within the body's own fluids.
Note: in addition to this stagnation causing pain and infections, this stagnation is also a common cause of inflammation.
Sadly, beyond the dangers of blood clots or strokes, few appreciate just how vital healthy fluid circulation is for the body or how many different types of fluids move through the body. Conversely, I believe many of the benefits attributed to a variety of therapies arise from their increasing fluid circulation within the body.
For example, exercise is well-known for improving anxiety and depression (to the point the benefits of exercise exceed the benefits of the highly dangerous medications we typically give for anxiety and depression). Similarly, the same benefit is often reported following vigorous intercourse. In both cases, various explanations have been proposed, such as "the activity produces endorphins," but it must also be acknowledged fluid movement within the body simultaneously occurs.
I personally believe in the stagnation hypothesis for a few key reasons:
1. Everything in our modern lives encourages fluid stagnation (e.g., sitting at a computer all day).
2. I typically observe those with the greatest degree of fluid stagnation carry the greatest psychological burdens (e.g., they are more depressed).
3. I frequently observe immediate improvement in individuals with a variety of chronic health issues I associate with fluid stagnation following them doing something which increases the fluid circulation within their bodies (e.g., infrared saunas or restoring the physiologic zeta potential).
My perspectives on fluid circulation are not unique, and a variety of healers employ various approaches to improve fluid circulation in the body (e.g., massage therapists trained in lymphatic drainage). Similarly, I have long theorized that some of the healthiest exercises that exist exert much of their benefit by increasing the body's fluid circulation.
For example, the patient I know who has aged the best (they are almost 90 but look and functions like they are in their 50s) has followed three very simple rules. Get lots of sunlight (which increases fluid circulation), frequently fast, and use a large trampoline (not a rebounder). The large trampoline is utilized since the transient zero gravity point the large trampoline creates at the top of a jump appears to effectively mobilize the fluid within the body, which I suspect is due to many of them being low pressure systems (as they lack a heart to create a pumping pressure within them) and hence are much more sensitive to external influences.
Similarly, one of the most common traits I observe in the elderly who have maintained the functionality of their bodies decades after their peers is that they've made a point to take a walk daily. I believe the benefit of their regimen is that walking moves the fluids throughout the body and does so without straining or damaging the body (which you see with many other activities over time, like running on concrete or intensive weight lifting). Additionally, I have also seen similar effects in longtime practitioners of traditional Chinese and Ayurvedic exercises designed to support fluid movement within the body. Lastly, certain slow abdominal breathing exercises correlated with promoting longevity also improve the fluid circulation of the body.
Unfortunately, while many healers try to work with fluid circulation through the method they are familiar with, their results are very inconsistent. As a result, there is an immense degree of variability observed in response to the innumerable treatments for fluid congestion (although those who excel in this area often become widely renowned for the results they get).
When I've looked at why there is such a deficit in ways to address fluid stagnation inside the body, I've concluded the primary issue is a widespread lack of knowledge in the anatomy and physiology of fluid circulation of the body.
The Anatomy and Physiology of Fluid Circulation
One less appreciated aspect of evolution is that various functional constraints limit how big different organisms can get. For example, in many ways, insects are much more efficient organisms than animals, but with a few exceptions (e.g., a few insects within the Amazon jungle), they come nowhere close to reaching the size of an animal.
One reason for this is that insects breathe through their exoskeletons, and as they get larger, the ratio between how much air can be exchanged over their entire surface area and the needs of the increasing volume of their body becomes incompatible with life (as something expands, the surface area to volume ratio rapidly decreases). Animals, in contrast, have lungs that, due to their innumerable foldings, contain the enormous are exchange surface area necessary to support life.
A similar problem also exists for cells and particularly groups of cells. They require a specific environment to surround them their internal contents can exchange with. Once a basic level of complexity is achieved, that environment can only exist if the host organism creates it. As a result, virtually all living organisms that pass that basic level of complexity separate their internal fluids into different compartments and have various systems in place to ensure the necessary circulation in and out of those compartments occurs.
At the smallest level, within many cells, regions of liquid crystalline water (where water thus cannot flow) predominate the cells, while channels of bulk state water can also be found throughout the cells. These channels both facilitate the movement of fluid throughout the cell and directs its flow, so each part of the cell can get what it needs rather than the cell depending on random diffusion to bring the right things where they are needed while simultaneously effectively eliminating waste products (which is important because complex cells would likely be unable to function under the limited functional capacities random diffusion provides).
Each cell, in turn, is surrounded by interstitial fluid, which has to move to and from the cell. A variety of different conditions result when this circulation shuts down. One of the most common ones medical dissidents have identified throughout the ages is cancer, an observation which exists in parallel with the observation cancer cells lose the ability to metabolize oxygen. This has led many to theorize that cells becoming cancerous represent a primitive survival mechanism where the cells revert to a more primitive evolutionary state that focuses on the cancerous cell’s own survival rather than working in harmony with the complex host it belongs to that provides an environment that can support the cell’s increasing evolutionary sophistication.
Note: There are a variety of different conditions that correlate with interstitial fluid stagnation most clinicians in practice have seen. One of the most interesting ones my colleagues have observed is that when the interstitial stagnation becomes extreme, individuals can lose their will to live, something also commonly observed in cancer patients.
Because many of these circulations occur within structures other than the classic vessels (arteries, veins, lymphatic vessels) anatomy revolves around, many critical circulatory pathways have only recently been discovered or rediscovered. For example, the Primo-Vascular system, a long-debated network of vessels (as a North Korean researcher had claimed it mirrored the acupuncture channels but no one had been able to confirm his work due to not being able to identify what dye he used to stain it), was only at last confirmed to exist about a decade ago.
In the case of the interstitial fluid, a circulatory network for it that exists throughout the entire body was only discovered a few years ago.
Note: Given its scope and function, the discovers have argued that this connected interstitial fluid network constituted a “new” organ, the interstitium. I found this designation quite interesting as one of the mysteries of Chinese Medicine has been what the “Triple Burner” (its twelfth organ) is. The Triple Burner was first described in the classic text of Chinese Medicine over two thousand years ago and has all the functions and acupuncture channel characteristics of an actual organ, but is stated to lack a discrete physical form. Many thus speculated the Triple Burner is the fascia. When I read the paper on the interstitium, it was immediately apparent it matches all the characteristics of the elusive Triple Burner organ.
The fundamental reason the interstitium had never been found before was that the collagen structures that create the vessels for interstitial fluid to travel throughout the body collapse when taken out of the body and placed on slides. The millions of people who saw the interstitium’s collagen fibers on slides over the centuries all then assumed the collagen fibers they saw were simply inconsequential cellular debris.
Note: this problem is identical to the one that has prevented the entire microbiology field from recognizing the clear signs of pleomorphic bacteria frequently seen under the microscope, as they too, are simply assumed to be irrelevant debris.
The discovers of the interstitium were able to bypass this issue because while using advanced instrumentation to monitor the flow of fluid in the body, they realized that a large web-like flow of interstitial fluid was occurring, that, in many cases, appeared to be happening within tiny previously unknown vessels. This thus made them look at those same slides to ask where these vessels could possibly be, and they eventually identified the collagen vessels.
Note: I believe that mindset (while not encouraged by the current educational system) is critical for solving many of the pressing challenges we face (along with helping many complex patients).
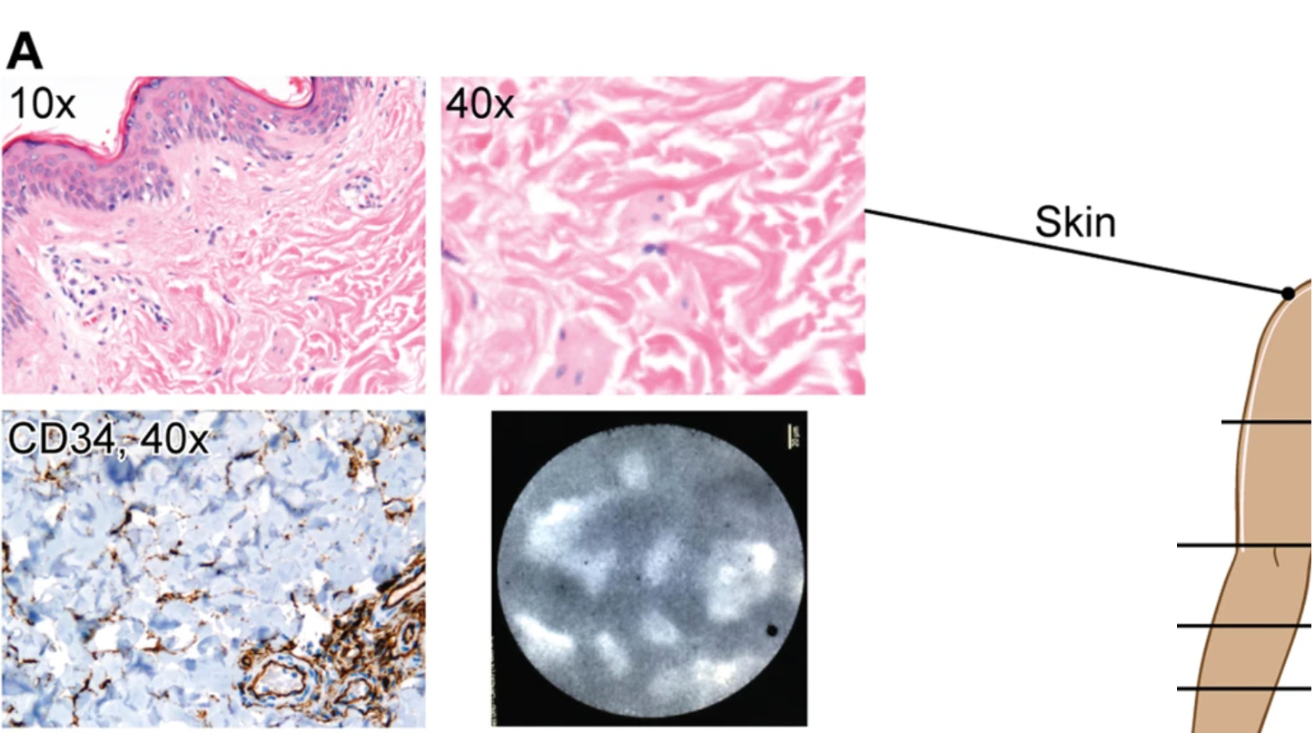
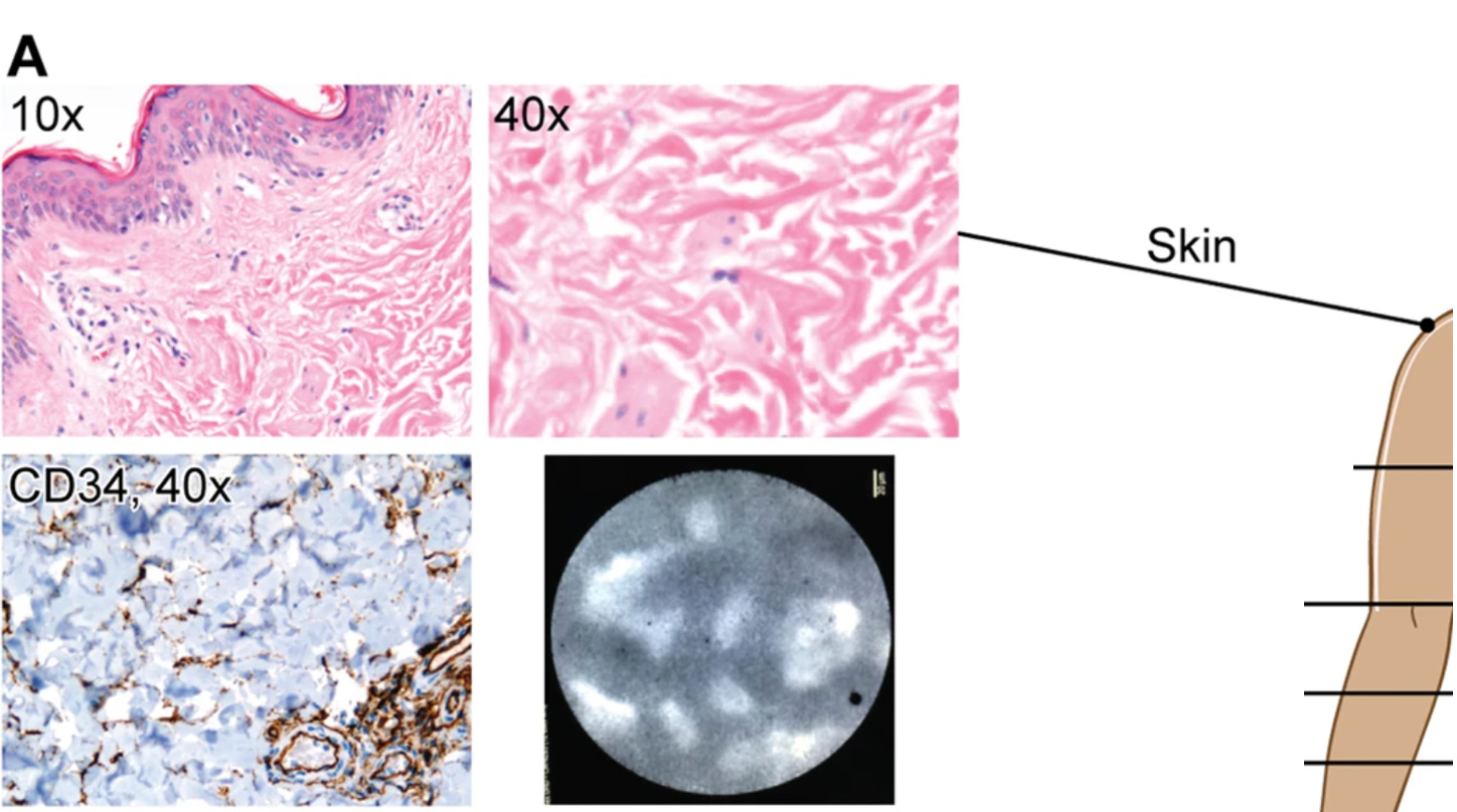
What immediately caught my attention about this medical discovery was that the interstitium was found throughout the dermis.
In turn (as discussed in the recent DMSO article) I formed the hypothesis that many skin diseases resulted from stagnation within its interstitium. In this article, I will try to provide some context as to why its flow could easily get disrupted.
Lymphatic Circulation
Interstitial fluid contains nutrients from the bloodstream and waste material from cells (or invading organisms). The lymphatic system is the drainage system that removes those waste materials from the interstitial fluid. When it fails to effectively circulate what it is responsible for removing, various health issues emerge (including some that require hospitalization).
Much of our knowledge of the lymphatic system comes from anatomists having dissected the entire body and identified where every lymphatic vessel is. This led to the longstanding assumption that no lymphatic drainage existed from the brain (which, if you think about the functions of the lymphatic system, does not make sense), as no vessels could be found.
Eventually, ten years ago, like what happened with the interstitium, an advanced method was used to trace fluid movement throughout the body. Once this was done, it was observed that lymphatic drainage was occurring within the brain and dramatically increased during certain sleep phases. Those researchers eventually figured out that the astrocytes were responsible. Astrocytes for context support cells present throughout the brain that form the final layer of the blood-brain barrier by fully covering each blood vessel with their “feet,” thereby requiring anything that enters the brain from the blood vessel to first pass through their feet.
When individuals slept, the astrocytes, in unison (while maintaining the connection between the feet), would slightly pull back their feet, creating a space between their feet and the blood vessels. This perivascular space functions as the key conduit for the glymphatics. The pulse of the blood vessel lying underneath this space is then theorized to serve as the pumping mechanism for this movement through these “vessels.”
The glymphatic system is incredibly important, and more and more, as time moves forward, its dysfunction has been linked to a variety of chronic degenerative neurological conditions. It has also been identified as a key reason for why a second traumatic brain injury is often so devastating, as the first one disrupts the delicate architecture of the glymphatic system, so when the second one occurs, the capacity to drain the edema and cellular debris that result from it is radically diminished. Many colleagues also believe the glymphatics explain a few consistent observations they make in patients with chronic debilitating illnesses (e.g., chronic fatigue syndrome) such as impaired sleep being intrinsically linked to the pathology of the condition (and conversely, when treated often results in significant improvement of the illness).
Note: the importance of the glymphatic system is further discussed in this article on the causes of Alzheimer's disease.
Zeta Potential and Fluid Circulation
Zeta potential, a crucial component of health, quantifies the electrical charge difference between colloidal particles in the liquid they are suspended with (which applies to most fluids systems in nature). When sufficient zeta potential is present, those particles stay separated (dispersed), while when insufficient zeta potential is present, they will clump together, with the clumps becoming larger and larger as the zeta potential is reduced.
In the body, if this happens, red blood cells will clump together, eventually forming microclots (which, while possible to observe with microscopic examination of blood vessels, in most cases are too small to be seen with MRIs). These agglomerations can cause either acute illness, or more commonly chronically debilitating illnesses (e.g., we believe the loss of zeta potential that occurs due to declining kidney function is a primary cause of aging). In turn, many dangerous agents (e.g., aluminum, the spike protein, and dangerous microbes such as malaria) disrupt zeta potential, and much of the harm they cause can be counteracted with a zeta potential restoring agent. As a result we often see dramatic improvements in health (as have readers here) from simple protocols aimed at restoring the physiologic zeta potential, particularly since an impaired zeta potential is such a common root cause of illness.
Note: clotting immediately after a blood vessel is cut open is necessary to prevent bleeding to death. As such, the body’s zeta potential is set to be slightly above the agglomeration threshold, so that the small loss of zeta potential which occurs when blood leaves the vessels will initiate the clotting process. Unfortunately, in the modern era, many things in our environment adversely affect the physiologic zeta potential, and as a result, the baseline zeta potential the body evolved to have does not counteract those environmental influences, which frequently leads to detrimental microclotting.
Likewise, this process also has recognized by multiple medical systems (e.g., Chinese medicine has the diagnosis blood stasis, which is almost identical to blood sludging, a concept many Western researchers previously demonstrated was a root cause of disease), and with appropriate examination can easily be detected (e.g., there are many neurological deficits frequently triggered by microstrokes which can be detected with the appropriate examination).
Finally, since zeta potential applies to every colloidal fluid system in the body, many of these same issues also occur outside the blood stream (e.g., in the interstitial fluid, in the ureters when kidney stones form and in the lymph).
Note: after publishing the DMSO and dermatology article, many readers reported they had had rapid and almost unbelievable results for using it to treat burns (along with a variety of other conditions). In that article, I posited that many of the benefits of DMSO resulted from it improving the microcirculation within the skin (both within the blood vessels and within the interstitium). This was in part because the scientists who researched blood sludging found that blood sludging would consistently follow burns (and account for a variety of the issues associated with burns) and because treatments which improved the physiologic zeta potential within the skin (e.g., negative ion therapy or DMSO) and dispersed that sludging were often incredibly helpful for burns (which otherwise, when severe, are very challenging to treat).
Mysteries of Microcirculation
A consistent pattern emerges when each circulatory pathway is looked at in the body. Tiny spaces with no extrinsic force driving their flow (or only a very small one) simultaneously require a regular movement occurring through them, and without that flow, life cannot function.
Note: in many cases, the blood vessels red blood cells travel through are smaller than the red blood cell, which requires the blood cell to deform to fit in the vessel—something which could not occur without some type of substancial force pushing the blood cell forward.
The immediate thought I had when I reviewed the anatomy of each was, "impairing physiologic zeta potential would be devastating here as any of the fluid in it would cease to flow it were to be clumped together."
Note: one common way colloidal aggregations (from poor zeta potential) are dispersed is with mechanical force, as once they start flowing (due to a property known as thixotropy) they no longer clump together. Unfortunately, that means of dispersion is not available in tiny vessels which lack a circulatory pressure from a strong pump like the heart, and likewise explains why once the flow does stop it often cannot resume.
Many have also wondered what makes this microcirculation possible. Rudolph Steiner, for example, an Austrian mystic who made a variety of observations about the natural world that inspired generations to follow his work insisted that the heart was not a pump.
Because of this, countless doctors who follow his work have looked for evidence challenging the notion the heart is a hydraulic pump that moves the entire circulatory system. They, in turn, have identified a variety of observations that suggest pressure generated by the heart is not the driving force of circulation; instead, something independent of the heart's pumping action causes blood to move throughout the body.
For example, spontaneous circulation can be observed in a developing embryo before the development of its heart, and the flow and pressures observed in the body are frequently inconsistent with the pressure the heart generates being the driving force behind blood circulation.
Note: many of these observations are detailed in this long-forgotten paper.
When I've thought this question over at length, it does not seem realistic that the heart could provide enough force to move the red blood cells through every capillary in the body. What then could be causing the fluids inside the body to move?
Proton Induced Motion
Pollack and his team happened upon a chance discovery in their laboratory (discussed in great detail within this paper), which at last provided an answer to the mysteries of circulation.
Fluid commonly flows in response to an external pressure gradient. However, when a tunnel-containing hydrogel [which contains liquid crystalline water] is immersed in water, spontaneous flow occurs through the tunnel without any pressure gradient. We confirmed this flow in a wide range of plant- and animal-derived hydrogels. The flow appears to be driven by axial concentration gradients originating from surface activities of the tunnel wall. Those activities include (i) hydrogel-water interaction and (ii) material exchange across the tunnel boundary.
As stated above, liquid crystalline water requires ambient infrared energy and a polar surface to form on. A curious phenomenon then occurs when that surface lines the inside of a tube (which, as far as I know, is the case for every fluid vessel in the body)—the liquid crystalline water lining the tube causes water to flow spontaneously through it.
EZs [regions of liquid crystalline water] were studied previously by immersing sections of tubes made of a strongly hydrophilic material, Nafion, in aqueous microsphere suspensions. A microsphere-free EZ developed adjacent to the tube surface. In the central core of the tube, the movement of the microspheres demonstrated a flow, continuously sustaining itself at a velocity of ~10 μm/s in the axial direction [from the start to end of the tube]. Similarly, EZ and flow were also observed in tunnels lodged within various hydrogels. The gel materials included polyethylene glycol, poly(vinyl alcohol), and poly(acrylic acid). On the other hand, flow was not observed in tubes built of hydrophobic materials such as Teflon [and others], which do not generate EZs. The presence of EZ appeared to be a necessary condition.
Since liquid crystalline water’s formation requires ambient radiant energy to form (e.g., the infrared energy present in light), its presence was found to influence the flow that was observed.
We found that increased infrared energy substantially increased the flow velocity (Fig. 3B).
Since incident radiant energy (light) fuels EZ expansion, that energy may likewise fuel the self-driven flow. We confirmed that application of ultraviolet-containing white light could boost flow velocity by up to 500%. Thus, the self-driven flow mechanism can convert radiant energy into kinetic energy.
Pollack theorized this flow was generated by the mutual repulsion created between the positively charged protons (hydrogen atoms) that are expelled as water (H2O) transitions to liquid crystalline (H3O2) water.
Note: that formation process is further explained here.
A few additional observations support this hypothesis. The first is that protons are continually added to the water that passes through:
We found that the exiting water had a lower pH value than the entering water; the pH difference exceeded one unit and never diminished — even after 30 minutes of continuous flow. While we still couldn’t resolve the quantitative issue, we did establish that the passing water continued to receive protons from the annular EZ without diminution, even over extended periods of time.
Note: In subsequent experimental designs, Pollack has demonstrated this flow can persist for hours to days.
The second was that flow was the greatest in narrow tubes:
Another prediction of the proton-gradient hypothesis is that the flow should be faster in narrower tunnels. Assuming the proton-release rate per unit area of the annular EZ is spatially invariant, then, since reduced tunnel diameter means increased surface-to-volume ratio, a narrower tunnel should lead to a higher proton concentration in the core (see Fig. 3A). This results in a higher proton gradient (assuming the bath’s proton concentration remains unchanged), which, in turn, should lead to faster flow in the narrower tunnels.
Note: narrow blood vessels are the most vulnerable to their blood flow being disrupted by an impaired zeta potential and hence where the initial subtle signs of illness often appear. It thus is remarkable the proton induced flow directly counteracts this vulnerability of the circulatory system.
The third was that the direction flow was always from the narrower end of a tube to the wider end:
A common feature shared among the various flows was the direction—always toward the region with larger cross section or volume.
Thus, when a narrower tunnel lies in series with a wider tunnel, the proton gradient should point from the narrower to the wider section, as consistently observed.
Likewise, in each case where it can be observed, each fluid conduit in the body is lined with a material recognized to create liquid crystalline water. For example, all blood vessels, including the smallest capillaries, are lined with a protective glycocalyx, and as discussed here, the glycocalyx is remarkably well suited for creating liquid crystalline water on its surface (which Pollack and others have verified is indeed there).
The biological flow of fluids that is independent of a central pump has also been explored in animals:
On the other hand, blood can apparently flow without a beating heart. After the heart had been arrested, postmortem blood flow was confirmed in mice, rats, dogs, and chick 30 embryos (4-7). The flow persisted from 15 minutes to several hours. Furthermore, some 31 amphibian larvae could live up to 15 days, and even differentiate following surgical 32 removal of the heart (8-10), implying an alternative means for propelling blood.
Here, in an avian circulatory model, we confirm several predictions arising from this flow mechanism. First, flow continues after cardiac ejection has been stopped; this implies some driving mechanism beyond ventricular ejection. Second, IR energy fuels this flow, both in the post-mortem situation and also in the normal physiological state. All of this demonstrates the existence of a second driver of blood flow, beyond the heart: the vessels, themselves.
Other organisms also utilize this mechanism. Plants require significant internal transportation of water (e.g., consider how high trees must pull water from deep underground to sustain themselves) but do not have any pumping organ which could facilitate this activity.
To explore the generality of the self-driven flow, we tested diverse hydrogels. They comprised plant-derived hydrogels including agarose, agar, and starch, as well as animal-derived hydrogels including collagen and gelatin. These hydrogels, ranging from polysaccharides to proteins, were chosen on the basis of their broad appearance in nature and wide application in science and technology.
In the lab, Pollack demonstrated that the xylem (the vessel plants use to transport water) creates liquid crystalline water. Pollack has also shown that the flow created by liquid crystalline water allows it to overcome the resistance of gravity and climb up tubes (a commonly observed phenomenon known as capillary action).
Additionally, Pollack has also demonstrated that the random spontaneous particle movement observed in water (known as Brownian motion) is influenced by light. This suggests it is likely due to the motion created by liquid crystalline water (which light drives the formation of). Unlike the tube examples discussed in this section, where something exists to direct the flow created by the charge repulsion between hydrogen atoms, in most cases, that structure is not present, and random motion instead occurs.
Direction of Circulatory Flow
Pollack’s model shows that the liquid crystalline water goes from the area of highest to lowest proton gradients, which, in most cases, means going from a narrower to a wider conduit. This is important for another reason—it mirrors the direction of fluid flow in the body in areas with minimal to non-existent pumping mechanisms. This again suggests the utilization of liquid crystalline water is fundamental to the body’s design.
For example, when blood exits the smallest blood arteries and enters the capillaries (where much of it leaves the circulation to nourish the tissues), it must then flow into the smallest veins, which merge into a much larger and more powerful flow as the veins join together into larger and larger veins. At the capillaries, no pressure exists to serve as a pump, yet the power behind the circulation never stops, so something else must be at work.
Since the smallest veins are three times the size of the smallest arteries (and continue expanding), a natural direction of flow from the smallest arteries to veins is created. Similarly, the lymphatic system (which has a variety of weaker pumps recognized to fail in various complex illnesses) also starts off as tiny lymphatic vessels that eventually collect in much larger lymphatic vessels.
At the same time, however, since most of the arterial flow goes from larger to smaller vessels, the picture is a bit more complex and required Pollack to test it directly.
As the model predicted, the flow in the large, near-heart arteries was indeed opposite to the natural direction just after the heart stopped beating. Hence, model predictions appear to match experimental observations for all vessel beds [this implies the hearts contractions does plays a key role in the direction of arterial blood flow].
If the flow in arteries is against the flow in the capillaries and the veins, a natural question is: who plays the dominating role? The answer should be the capillaries and the veins: compared to the arterioles, the venules [smallest veins] are higher in number; thus, more venules can generate flow. This conclusion is verified by the dynamics of the postmortem arterial blood flow. Postmortem flow in larger arteries was originally in the reversed direction, not the natural direction. Yet, the flow gradually resumed its natural direction from the peripheral region of the arterial network, indicating that the blood flowed into the capillaries and the veins. As the non-beating heart stopped replenishing blood to the arteries, ultimately, the arteries emptied. The emptied arteries indicate that the flow driving capacity of capillaries and veins exceeds that of the arteries. Thus, all blood vessels drive the blood towards the natural direction.
Liquid Crystalline Water and Zeta Potential
Many of the factors which influence the formation of liquid crystalline water also influence the physiologic zeta potential. After looking at each individual factor for an extensive period of time (detailed here), I concluded:
•Colloidal systems can either depend upon a mutual negative or mutual positive charge to maintain the repulsion necessary to ensure colloidal stability. In nature, in almost all cases, this is done with negative rather than positive charges. I believe this is due to the negative charge liquid crystalline water inherently creates around polar surfaces in water (which hence necessitates everything else also being negatively changed so that they repel from each other).
•In most cases, the same factors which promote the formation of liquid crystalline water also promote a more negatively charged physiologic zeta potential and the stabilization of proteins in solution (rather than them being “salted out”).
•In many cases, it’s likely the mechanisms are being mixed up, and the change an agent is observed to cause in one parameter is actually due to it changing a different linked parameter (e.g., some of the agents which “restore the physiologic zeta potential” are actually enlarging the liquid crystalline layer around colloidal particles in the solution and hence creating the appearance of altering the physiologic zeta potential because particle dispersion increased).
The Spike Protein and Zeta Potential
In late 2019, I realized COVID-19 would turn into a huge problem. Because of this, I contacted my colleagues who, unlike me, were practicing in areas I expected to be hard hit by it (e.g., New York City) and once COVID-19 started within the United States, they were willing to share their clinical observations. One of the things I heard repeatedly was reports suggesting abnormal stagnation was occurring in the fluids of their patients.
For context, we hold the beliefs that one of the most common things that is observed in hospitalized patients is an impaired physiologic zeta potential. Furthermore, long ago, it was demonstrated that individuals who had pre-existing impairment of their zeta potential were far more likely to have heart attacks or be hospitalized, and that the small decrease in zeta potential infections like the flu could create, while inconvenient for most, could be devastating for those with an already impaired zeta potential (as it dropped them below a critical threshold). Likewise, we also believe that the routine treatment reflexively given to most hospitalized patients, intravenous fluids actually “works” because it partially restores the physiologic zeta potential.
Note: One of the best recent pieces of evidence I heard for this theory was Pierre Kory’s observation that occasionally, bedside ultrasound in the critical care unit would show the blood in the largest veins of the body will is clumping together and that this sign typically immediately precedes death. This observation mirrors what investigators over 50 years ago found in monkeys infected with malaria—that as the infection progressed, blood clumping would occur in larger and larger blood vessels. Once it occurred in the largest vessels, death would immediately follow (unless something was provided to prevent the clumping). This progression of blood clumping together first in the smallest and then eventually the largest vessels as disease severity increases also mirrors some of the classic diagnostic models within Chinese Medicine.
Many of the observations my colleagues on the early front lines of COVID-19 shared with me mirrored what I had previously associated with extreme disruptions of zeta potential, something which had not been observed with the original SARS virus (SARS-CoV-1). This then raised the question, why does SARS-CoV-2 cause that?
After looking at it for a while, I concluded it had to be the high positive charge density unique to the SARS-CoV-2 spike protein. This became the original reason for my concern with the vaccine. Since then, many signs have emerged that the spike protein directly affects zeta potential. These include:
•Modeling showing the SARS-CoV-2 spike protein adversely affects physiologic zeta potential.
•Some of the unusual characteristics of COVID-19 (e.g., the low blood oxygenation arising in the peripheral but not central vessels) being due to its zeta potential induced microclotting. One study supporting this link showed athletes who received the vaccine experienced a decline in their oxygen uptake.
•Some of the therapeutic benefits (e.g., from ivermectin or ozone) seen in hospitalized patients, such as improved oxygen uptake occurring immediately following treatment, something that likely can only be attributed to a rapid dispersion of blood clotting.
•Ivermectin being directly demonstrated to disperse spike protein-induced blood clumping (microclotting).
•Vaccine injured patients and “normal” vaccinated patients developing subtle cranial nerve palsy’s indicative of microstrokes having occurred. Many of the other symptoms commonly associated with COVID-19 vaccine injuries are also things I had previously learned to associate with poor zeta potential.
•Individuals performing live blood cell analysis observing blood clumping occurring in vaccinated blood (e.g., see this study).
•Vaccine-injured patients improving from a variety of treatments directed at restoring physiologic zeta potential.
Conclusion
As the years have gone by, our system of science has become more and more influenced by commercial and political pressures, resulting in research more and more focusing on what can make money and protect existing interests rather than on what advances humanity.
In the case of medicine, this has resulted in research that incriminates business interests (e.g., by showing a pharmaceutical is toxic) being blocked (e.g., I’m currently working on a series about how this happened with ultrasound safety research). Likewise, research that provides economic means of treating illness and hence competes with the medical industry inevitably is blocked.
This obstruction has held particularly true for investigating the root causes of illnesses as if you have a simply scientific process that can account for many different diseases (e.g., colloidal agglomeration), it invalidates large swathes of disease markets. As such, most of our medical research focuses on the biochemical model of illness, a framework where each illnesses is viewed as the result of an issue with a specific protein that requires a unique (patentable) compound or antibody to interact with it, making it possible to create an almost limitless number of profitable pharmaceutical products.
Unfortunately, in many cases, this approach (beyond being incredibly expensive) cannot provide the results or health people are looking for if the illness results from something else (e.g., an impaired physiologic zeta potential). Because of this, I believe that advancing medicine (and making it affordable again) will require us to re-examine many of our foundational conceptions of the body and asking if there is something else we are missing (or have forgotten) such as how its water is moving in the first place. Fortunately, we at last appear to be entering an era where embracing these new paradigms may indeed be possible!
Authors Note: there are three companion articles to this piece. The first, which describes the science of zeta potential and how it underlies many vaccine injuries can be read here. The second which discusses the methods that can be used to increase liquid crystalline water and improve the physiologic zeta potential can be read here. The third which describes what types of water we drink (as we’ve found appropriately purified waters that restore the physiologic zeta potential are often a very economical way to improve health) can be read here.
To learn how other readers have benefitted from this publication and the community it has created, their feedback can be viewed here. Additionally, an index of all the articles published in the Forgotten Side of Medicine can be viewed here.







In the article, I wrote the formula incorrectly. It should have said H3O2 (H1.5O)
I’m not a holistic practitioner….just a grandmother who has always been adverse to pharmaceuticals and in favor of more natural and less chemicals. But I was vaccinated as an Air Force brat going overseas to the Phillipines as well as giving my sons the pediatric recommended vaccinations in their childhood 1980’s ….which I now deeply regret. But no flu vaccines nor Covid vaccines. I bought DMSO from Jacob’s labs back when I first started reading up on it at the beginning of the Covid era. I no longer trusted mainstream medical soon after the vaccine and masking mandates were raised and I asked my then primary care doc if she would give me ivermectin if I got Covid and she said no. I finally got Covid in 2023 and took my goats ivermectin 😂😂. I was pretty sick for a week but I lived. I got the DMSO for emergency first step stroke issues since my husband and I are in our 70’s . I have since read all your information about so many things that DMSO could be helpful with and joint problems is one I am highly interested in as I need my knees to keep up with my grandkids and my dairy goats!
My question is how do I find a DMSO literate doctor that could work with me so I learn to use it appropriately? I’ve experimented on myself a little with 70% gel but I’m not confident. I don’t appear to be allergic but I am sensitive as it stings a lot so maybe I’m not doing it right